Prosthodontics involves dentures, bridges, crowns, implants, and similar areas of expertise commonly associated with cosmetic dentistry. Dentures are removable (partial or complete) set of artificial teeth. You can regain your smile with well fitted dentures. Availability of CAD-CAM sets us apart from all other dental clinics by providing you crowns in a single visit.
Dental implants are normally made of titanium at the root, with a traditional crown as the tooth itself. We provide you with an excellent alternative to pulling several teeth in order to utilise a bridge or to get dentures.
All Ceramic (Crown)
Over Denture
CAD-CAM (Crown)
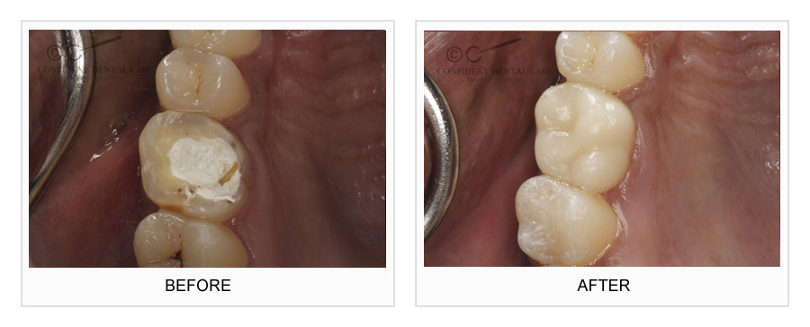
CAD-CAM (Filling)
Complete Denture
Denture
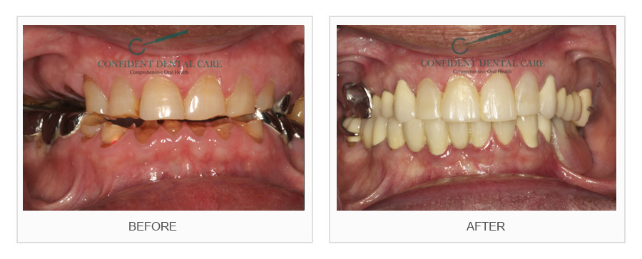
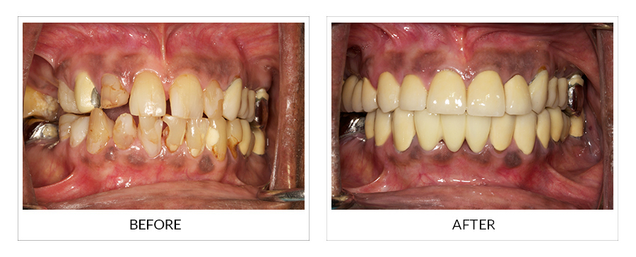
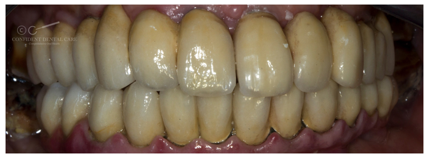
Full Mouth Rehabilitation
Full Mouth Implant Denture
Obturator (Special Cases)
-
Dental Bridge
-
CAD-CAM Crown




















