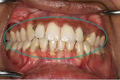
These cover treatments associated with gum diseases thus minimising:
- Bleeding gums
- Loose teeth
- Appearance of gaps in between teeth
- Painful gums
- Bad breath
Varied gum treatments such as root planning, flap surgeries, gingival depigmentation, general aesthetic surgery, etc. are also included under periodontics.
Combined use of soft tissue lasers help you enhance the health of gums and associated structures.


