What is a Dental Implant?
A dental implant is the best treatment known to replace a lost tooth. It is ideal for people who maintain good oral health and have lost teeth due to injury or gum disease. An implant is a screw-like material that replaces the root portion of a natural tooth. It is placed inside your jawbone by surgery over which crowns, dentures or bridges are fixed. If placed under proper conditions and further maintained diligently, an implant can last for a lifetime.
Why is a Dental Implant Needed?
A dental implant is needed to:
- Replace one or more teeth without altering the adjacent teeth
- Support a dental bridge
- Provide support for a denture, making it comfortable for the patient to wear
What are the Types of Dental Implants?
Dental implants can include:
- Endosteal Implants: They are commonly used implants and are in the forms of screws, cylinders or blades, which are surgically placed inside the jawbone.
- Sub-periosteal Implants: These are placed over the surface of the jawbone and are used if there is very little bone height left behind.
Am I a Suitable Candidate for a Dental Implant?
An ideal candidate for a dental implant is one who is in good general and oral health. You should have a good amount of bone height in order to place the implant and also healthy gum tissue.
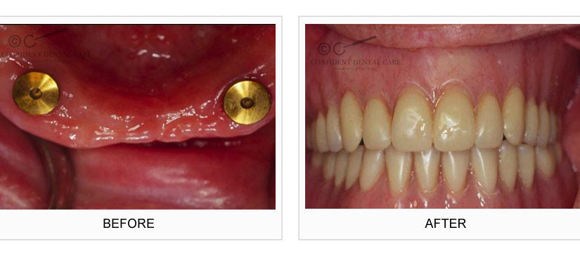
How is the Treatment Performed?
The dental implant placement involves three stages:
- Stage 1: In this stage of treatment, the titanium implant is placed inside the jawbone by surgery. This will remain covered inside the gums for about 3-6 months for osseointegration to take place.
- Stage 2: This stage involves uncovering the implant and attaching base for the artificial tooth to be fixed.
- Stage 3: The new tooth is fixed onto the base.
How is a Dental Implant Better than a Dental Bridge?
The advantages of a dental implant over a dental bridge include:
- Aesthetic Factor: A dental implant will look almost like your old natural tooth.
- Conservative: It does not need any changes in the adjacent teeth.
- Function: You can chew food better with implants.
What can you Expect Post-treatment?
Dental implants are close to your natural teeth and require the same home-care and regular dental visits. Brushing and flossing at least twice a day is recommended to keep the dental implant clean and free from dental plaque. Periodic follow-up visits are scheduled after your treatment to ensure the dental implant and gums are in a healthy condition.
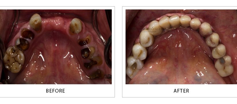
Full Mouth Implant
Implant Support Denture
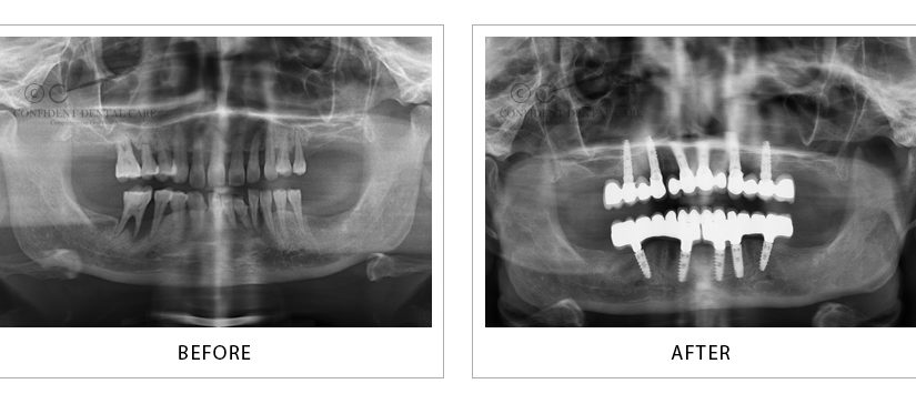
Implants X-ray
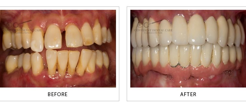
Implant Crown
-
Implant Crown
-
Implant Crown











