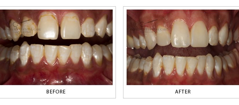
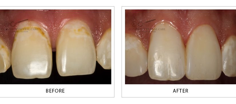
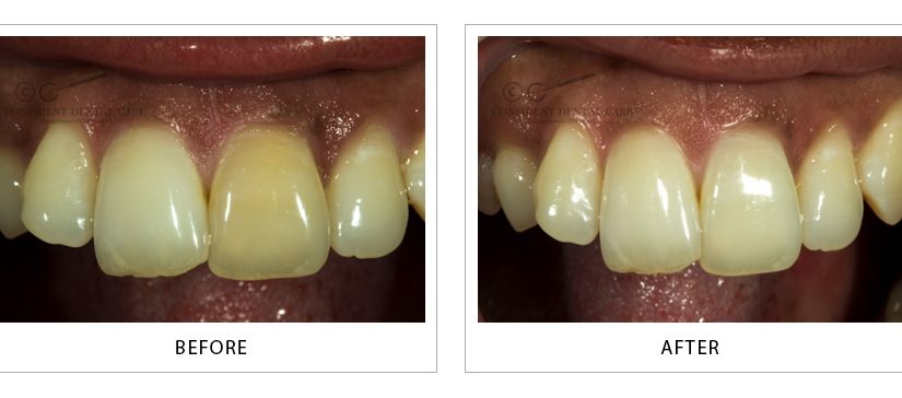
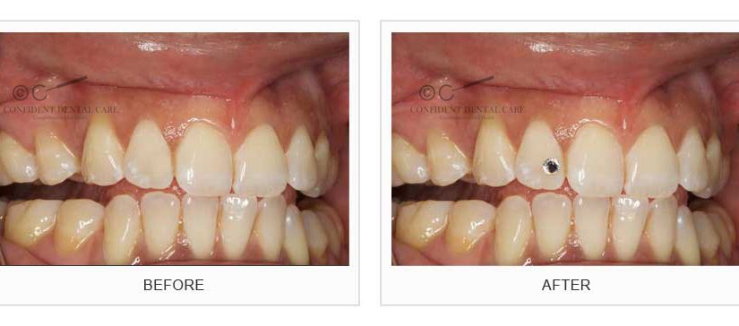
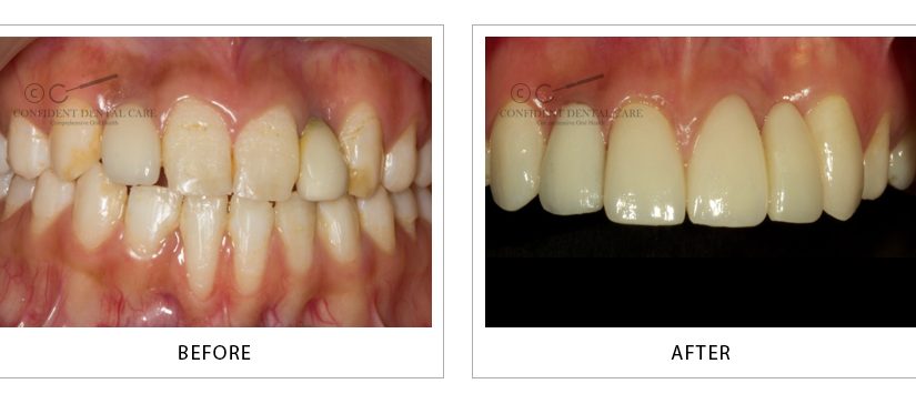
Cosmetic Dentistry is generally used to refer to any dental work that improves the appearance of teeth, gums and/or bite. It primarily focuses on improvement in dental aesthetics in color, position, shape, size, alignment and overall smile appearance.
Teeth Whitening & Bleaching
Composite Laminates
Porcelain Laminates
Tooth Jewelry & Embellishments
Smile Designing
Tooth Colour Fillings (Composite)
-
Porcelain Veneers
-
Bleaching
-
Why Cosmetic Dentistry









